Diffusion-weighted imaging increases the diagnostic performance of magnetic resonance imaging in assessing rectal cancer T stage and reduces intra- and interobserver variability

Alfredo Clementea*, Fabrizio Urraroa*, Gabriella Teresa Capolupob, Filippo Carannanteb, Fiammetta Cappabiancac, Alessandro Costad, Valerio Nardonee, Gianluca Costab,f, Alfonso Reginellie

Link Campus University, Rome; University Campus Bio-Medico, Rome; University Campus Bio-Medico, School of Medicine, Rome; Saint Camillus International University of Health and Medical Sciences, Rome; University of Campania “L. Vanvitelli”, Naples, Italy

aRadiology, Department of Life Sciences, Health and Health Professions, Link Campus University, Rome, Italy (Alfredo Clemente, Fabrizio Urraro); bColorectal Surgery Clinical and Research Unit, Fondazione Policlinico Universitario Campus Bio Medico, University Campus Bio-Medico, Rome, Italy (Gabriella Teresa Capolupo, Filippo Carannante, Gianluca Costa); cUniversity Campus Bio-Medico, School of Medicine, Rome, Italy (Fiammetta Cappabianca); dUnicamillus School of Medicine, Saint Camillus International University of Health and Medical Sciences, Rome, Italy (Alessandro Costa); eRadiology and Radiotherapy Unit, Department of Precision Medicine, University of Campania “L. Vanvitelli”, Naples, Italy (Valerio Nardone, Alfonso Reginelli); fGeneral Surgery, Department of Life Sciences, Health and Health Professions, Link Campus University, Rome, Italy (Gianluca Costa)

Correspondence to: Alfredo Clemente, MD, PhD, Department of Life Sciences, Health and Health Professions, Link Campus University, 00165 Rome, Italy, e-mail: a.clemente@unilink.it

*These authors contributed equally as first authors

Received 4 October 2025; accepted 7 January 2026; published online 3 February 2026
DOI: 10.20524/aog.2026.1038
© 2026 Hellenic Society of Gastroenterology

Abstract

Background Accurate preoperative staging is pivotal in guiding rectal cancer treatment, and in particular for selecting appropriate neoadjuvant therapies and surgical approaches. Magnetic resonance imaging (MRI) remains the standard modality for local staging. However, it has some limitations, particularly in tumors at intermediate clinical stages. Recent evidence has shown that incorporating diffusion-weighted imaging (DWI) can improve diagnostic performance, although its role in T staging has not been completely elucidated.

Methods The diagnostic performance of conventional MRI alone vs. MRI plus DWI in rectal cancer staging was retrospectively evaluated. The correlation between preoperative MRI findings and postoperative histopathological staging was examined. Intra- and interobserver agreement among radiologists with various levels of experience were assessed, both with and without DWI.

Results DWI-MRI improved staging accuracy, particularly for T2 and T3 tumors. The sensitivity and specificity for T2 staging increased from 68% and 96% (MRI alone) to 91% and 98% (DWI-MRI), respectively, while the sensitivity and specificity for T3 staging improved from 91% to 97%, and from 78% to 92%, respectively. The intraobserver agreement increased from 90.60% to 94.02% in experienced readers, and from 81.2% to 87.18% in less experienced ones. The interobserver agreement for DWI-MRI increased from 83.76% to 88.03%.

Conclusions DWI-MRI can enhance the accuracy of rectal cancer T staging, particularly when assessing rectal wall invasion, and it reduces overstaging. Moreover, it improves diagnostic consistency among radiologists, regardless of experience. Hence, the routine integration of DWI into preoperative MRI protocols can optimize clinical decision-making and treatment planning.

Keywords Rectal cancer, magnetic resonance imaging, diffusion weighted imaging, preoperative imaging, observer variation

Ann Gastroenterol 2026; 39 (2): 270-276


Introduction

Rectal cancer is one of the most common tumors worldwide, ranking third and second in terms of incidence among men and women, respectively [1]. Its primary prognostic factors are early diagnosis, accurate staging, and choice of appropriate medical and surgical treatments [2]. Nevertheless, in all types of tumors, the risk of local recurrence ranges from 3-20.6% [3,4]. For locally advanced cancers with invasion into the mesorectal fat and/or involvement of the pelvic lymph nodes, neoadjuvant chemoradiation therapy, followed by total mesorectal excision, can significantly reduce local recurrence rates [5]. However, unsuccessful staging may lead to patients being exposed to inappropriate treatments, causing excessive locoregional toxicity for earlier tumors, or underestimation and undertreatment for understaged cancers [6,7]. Magnetic resonance imaging (MRI) is the modality of choice for T- and N-stage assessments, and it is considered important for driving clinical decision-making [8-11].

In this setting, functional studies, such as diffusion-weighted imaging (DWI), could provide valuable information on tumor viability. DWI is a noninvasive functional imaging tool for the characterization of tumors, assessment of prognosis, and response evaluation for different cancers [12-16]. Previous studies have supported the use of additional information provided by DWI in the examination of treatment response, and DWI was recently included in the expert consensus guidelines of the European Society of Gastrointestinal Abdominal Radiology as a routine investigation tool for rectal tumor restaging after neoadjuvant chemoradiotherapy [17].

Although evidence supports the use of DWI in the restaging phase, studies demonstrating its value in staging as a complement to morphological sequences remain limited, though a few studies focusing on the detection of rectal cancer have shown that DWI has a high sensitivity (86-100%), specificity (84-100%), and area under the receiver operating characteristic curve (0.96-0.99) [18-20]. Based on these results, the detection level of DWI is high, with a low risk of false-positive results. Further, the diagnostic potential of DWI in the examination of complex cases, such as small tumors surrounded by extensive perilesional inflammatory reactions, suggests that its use is still underrated. There are no prior data in the literature showing the feasibility of predicting tumor T stage using DWI images.

Therefore, the current study aimed to evaluate the diagnostic performance of conventional MRI protocol alone and MRI combined with DWI for rectal cancer staging, using surgical findings as the reference standard. In addition, the contribution of DWI to both intra- and interobserver agreement, regardless of the readers’ level of experience, was assessed.

Materials and methods

Patient characteristics, inclusion and exclusion criteria, and collected data

The current study retrospectively reviewed the database of the Radiology and Radiotherapy Unit of the Department of Precision Medicine at the University of Campania “Luigi Vanvitelli” in Naples, Italy. We initially retrieved the records of all patients with the International Classification of Diseases, Ninth Revision, Clinical Modification codes 154.0-154.8 who underwent radiological assessment from June 2018 to June 2024. The inclusion criteria of this study were as follows: (1) patients who underwent pelvic MRI examination with DWI sequences; (2) those who underwent upfront surgery without radiation or medication prior to surgery, because of medical contraindications (severe comorbidities, previous radiation therapy on pelvis, DPYD*2A mutation, performance status ECOG ≥3) or surgical emergencies (bowel obstruction or perforation); (3) those who underwent surgery performed within 5 weeks of MRI examination; and (4) those with pathologically diagnosed adenocarcinoma. The exclusion criteria were as follows: (1) patients with tumors arising from the anal canal (3 cm below the anal verge); (2) those with incomplete imaging; and (3) those with incomplete pathological examination results. The data collected included the demographic and pathologic characteristics of the participants. The demographic variables included age and sex. The pathologic characteristics were the distance from the anal verge and the axial tumor length, in addition to the TNM classification. All tumors were classified using the 8th American Joint Committee on Cancer staging system [21].

All MRI findings and clinical data were independently reviewed by 2 radiologists with at least 5 years (ACl) or 10 years (FU) of experience, who were blinded to the previous MRI reports and/or surgical outcomes retrospectively. For intraobserver agreement, each radiologist repeated the assessment after a washout period of at least 3 weeks; cases were re-randomized, and readers were blinded to their previous interpretations to minimize recall bias. The MRI findings were evaluated by comparing the imaging results with the pathological findings obtained after surgical resection, which were considered as the standard reference. Any disagreements were discussed and resolved via a consensus meeting with a senior radiologist (AR). The patients’ demographic information was collected. However, all radiological and pathological data were anonymized and merged into a specific worksheet crafted with LibreOffice (version 7.6.7 for Windows) by a data specialist not involved in the research.

The current study was approved by EC, who waived the requirement for informed consent in view of the study’s retrospective nature. However, a written consent form for the treatment and analysis of data for scientific purposes was obtained from all patients.

MRI and DWI protocol

All selected patients had undergone MRI examinations based on an extensive protocol described in a previous report [22]. Briefly, examinations were performed using a 1.5-Tesla MRI scanner (GE Signa Voyager HD, GE Healthcare, Milwaukee, WI, USA). DWI images were obtained using echo-planar imaging with 3 different b-values (0, 500, and 1000 s/mm2), a repetition time of 3600 ms, echo time of 70 ms, inversion time of 180 ms, section thickness of 3 mm, and reduced field of view. Based on the pretreatment MRI scan, tumor stage, T2 tumor signals, and diffusion restriction were identified. The apparent diffusion coefficient (ADC) was calculated on DWI by manually placing regions of interest (ROIs) within the solid component of each lesion, thereby preventing susceptibility artifacts and mucinous areas. ADC values below 0.97 × 10-3 mm2/s were considered pathological [23,24].

Statistical analysis

Statistical analyses were carried out using Stata Statistical Software, release 16 (StataCorp LLC, College Station, TX; 2019) and R version 4.1.2 (R Foundation for Statistical Computing, Vienna, Austria; 2021), by 2 blinded authors (ACo/FCap). Descriptive dichotomous data and counts were presented as frequencies, and continuous data were expressed as mean values ± standard deviations and/or median with interquartile range (IQR, 25th-75th percentile) and minimum/maximum values. The sensitivity and specificity of conventional MRI alone, and MRI combined with DWI, were calculated for T2 and T3 stages. The intra- and interobserver agreement in T staging was investigated using both imaging techniques. Absolute agreement, agreement within each category, and disagreement between pairwise categories were calculated using Cohen’s κ. As reported in a previous study [25], the strength of agreement was as follows: poor, slight, fair, moderate, substantial, and almost perfect if the value for κ was <0, 0-0.20, 0.21-0.40, 0.41-0.60, 0.61-0.80, and 0.81-1.00, respectively. Univariate ordered logistic regression analysis was performed to model the probability of the different pathologic T stage (pT stage), based on conventional MRI alone and MRI plus DWI. Results were reported with 95% confidence intervals, as appropriate. All tests were 2-tailed, and a P-value of ≤0.05 indicated statistically significant differences.

Results

In total, 686 patients were identified during the study period; of these, 117 met the inclusion criteria (Fig. 1). There were 75 men and 42 women, and they were aged 34-85 years (average: 66.7±7.1 years). The pathological disease stage after surgery (pT) was as follows: pT1, n=4; pT2, n=35; pT3, n=67; and pT4, n=11. In total, 65 of 117 patients presented with lymph node involvement (pN+). MRI findings, based on conventional T2-weighted imaging and integrated with DWI, were compared with the pathological results and are summarized in Table 1.

thumblarge

Figure 1 Flow diagram illustrating the selection process for the inclusion of patients in this study

Table 1 Preoperative staging obtained via conventional magnetic resonance imaging (MRI) and diffusion-weighted imaging (DWI)-MRI vs. pathological results

thumblarge

Table 2 depicts the results of the ordered logistic regression analysis. The overall percentage agreement and the Cohen’s κ coefficient had an excellent concordance between the 2 pairs of observers across different imaging modalities. Based on the results of the intraobserver variability, the agreement between the radiological T stage and the pT stage was greater for MRI plus DWI in both radiologists, independent of experience. Table 3 presents the inter- and intraobserver agreement.

Table 2 Results of the probability modeling via ordered logistic regression analysis of pT stage based on conventional magnetic resonance imaging (MRI) and diffusion-weighted imaging (DWI)-MRI

thumblarge

Table 3 Inter- and intraobserver agreement stratified by imaging modality, reflecting the impact of DWI images on diagnostic concordance

thumblarge

Discussion

Accurate preoperative staging plays an important role in the multidisciplinary management of rectal cancer. A comprehensive assessment of tumor extent is essential to inform evidence-based treatment planning and to optimize clinical and oncological outcomes. The standard clinical approach is based on individualized therapy, according to preoperative tumor stages (and substages) assessed on MRI, as recommended by several oncologic societies [26-28]. Consequently, the importance of adequate preoperative imaging has increased in recent years. Moreover, recent technological advancements have significantly enhanced the diagnostic accuracy of MRI in detecting small tumors and evaluating extra visceral extension, both of which are critical factors affecting tumor staging. High-resolution T2-weighted MRI allows for a detailed visualization of the rectal wall layers and provides an accurate assessment of extramural tumor invasion [29-32]. However, differentiating a perirectal desmoplastic reaction from true rectal cancer invasion remains a diagnostic challenge [31-33]. DWI is an advanced imaging modality that can reflect cellular density and the movement of water molecules within human tissues. In particular, this technique is relevant for tumor staging. This is because necrotic and inflamed areas may exhibit similar signal intensities on T2-weighted imaging, whereas altered diffusion properties detectable on DWI can be useful for radiologists in evaluating cellular activity and, consequently, in distinguishing true tumor invasion from a desmoplastic reaction. Moreover, previous studies have emphasized the complementary role of DWI in tumor substaging [13,14,20], thereby further enhancing its diagnostic value. In our cohort, T3 tumors were most frequently staged, which is in accordance with established clinical practice [29]. Preoperative MRI, which is performed with conventional high-resolution T2-weighted images in 3 planes, had high pooled sensitivity and specificity values compared with those previously reported in the literature [30,34-36]. The radiological staging of T3 tumors, particularly in differentiating true tumor infiltration into the mesorectal fat from a desmoplastic reaction, is still the greatest challenge. This finding confirmed the well-documented limitations of conventional imaging [19,30,31].

Based on our experience, in 14% of patients, T2-weighted imaging was not successful in differentiating perirectal inflammation from tumor invasion, resulting in overstaging (Fig. 2). Notably, our failure rate is consistent with the level of overstaging reported in a previous study on T3 tumors, which ranged from 11-16% [6]. Several studies have emphasized this limitation, highlighting the technical inability of T2-weighted imaging alone to reliably discriminate a desmoplastic reaction from tumor infiltration into the mesorectal fat [13,21,32,37-40]. In our series, all overstaged cases exhibited linear or band-like signal abnormalities within the mesorectal fat, which were interpreted by both readers as early signs of extramural tumor invasion. However, it is well established that MRI cannot effectively distinguish desmoplastic reactions from true extramural tumor infiltration, particularly in the absence of a nodular morphology [38]. In contrast, DWI had promising results in the characterization of peritumoral tissues, compared with conventional MRI, taking advantage of tumor hypercellularity. In the current study, DWI exhibited a high diagnostic performance across all tumor stages, achieving superior sensitivity and specificity (91.43-100%) compared with conventional MRI. These findings are consistent with those of previous studies [30,32,37]. However, they provide a novel perspective. In particular, the adjunctive use of DWI had remarkable accuracy in early-stage (T1-T2) tumors, which are traditionally considered challenging to stage using MRI [13]. Based on our experience, the addition of DWI significantly improved the sensitivity of conventional MRI, particularly for assessing T2 and T3 tumors, which are critical stages in determining the most appropriate treatment strategy (Fig. 3). This improvement may contribute to a reduction in overstaging, thereby sparing more patients from unnecessary presurgical chemotherapy. In our cohort, DWI (97.01%) had a higher sensitivity for T3 tumor staging than conventional T2-weighted sequences (91.43%), indicating an excellent positive predictive value. To the best of our knowledge, previous studies have not assessed the potential of DWI for predicting T3 stage with such high accuracy, nor have they included such a large patient cohort. Notably, only 1 recent study, which included a cohort of 81 patients, showed that DWI had a good predictive value in evaluating the depth of muscularis propria invasion in mid- to high-rectal cancers, emphasizing its potential utility in preoperative staging [41]. However, the study used a purely quantitative DWI approach, relying on the manual assessment of ADC map values, which may limit its generalizability in clinical practice. In our opinion, this technique is labor-intensive, prone to interscanner variability, and strongly influenced by distortion inherent to DWI that may influence the precision of ROI boundary assessment. By contrast, our study used a more practical and reproducible approach, which is in accordance with routine clinical practice, based on the qualitative assessment of DWI signal characteristics and T2-weighted imaging, without the need for segmentation or quantitative mapping.

thumblarge

Figure 2 A 78-year-old patient with histologically confirmed rectal adenocarcinoma. Coronal (A) and axial (B) high-resolution T2-weighted images (with a slice thickness of 3 mm) showing a heterogeneous tissue mass involving the right hemicircumference of the mid rectum, with diffuse inhomogeneity and spiculated extensions (length 5 mm), raising suspicion for mesorectal fat invasion (T3c stage). Axial diffusion-weighted imaging (C) and the corresponding apparent diffusion coefficient map (D) depicting clearly hypercellular pathological tissues confined within the rectal wall, without evidence of invasion into the adjacent mesorectal fat. Final histopathological analysis confirmed an intramural tumor (stage pT2)

thumblarge

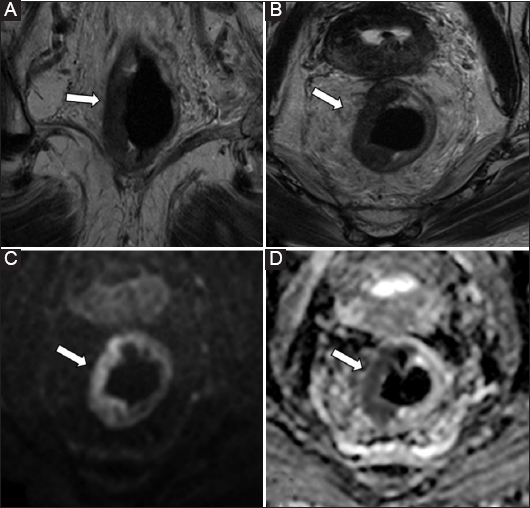
Figure 3 A 52-year-old patient with low-rectal cancer. High-resolution coronal (A) and axial (B) T2-weighted images showing a rectal neoplasm involving the left lateral wall of the rectum, with a focal inhomogeneous area at the 10 o’clock position (arrow), raising suspicion for extramural invasion. Axial diffusion-weighted image (C) and corresponding apparent diffusion coefficient (ADC) map (D) revealing a small extramural component (arrows) with diffusion restriction and significantly low ADC values. Histopathological analysis confirmed mesorectal infiltration (stage T3b)

The current study also aimed to assess how the use of DWI influences diagnostic decision-making at the individual level and enhances consistency among readers with various levels of experience. Indeed, beyond evaluating the diagnostic accuracy of the technique, our analysis highlighted the substantial contribution of DWI in improving reader confidence and promoting a greater consistency among observers. In particular, our findings showed that DWI not only improved the diagnostic accuracy of individual readers—particularly in defining tumor boundaries and reducing overstaging—but also significantly increased the interobserver agreement. For example, with the addition of DWI, the diagnostic agreement improved from 90.60% to 94.02% for the radiologist with 10 years of experience and from 81.2% to 87.18% for the reader with 5 years of experience. Moreover, the interobserver agreement improved from 83.76% without DWI to 88.03% with DWI. This finding is significant, as it highlights the practical value of DWI in decreasing diagnostic inaccuracies and improving performance across readers with different levels of expertise. To the best of our knowledge, only a limited number of studies have addressed intra- and interobserver agreement in assessing rectal cancer T staging [42,43]. However, none of these studies specifically considered the contribution of DWI.

We believe that DWI is an essential tool for T-stage evaluation in clinical practice—one that no radiologist should overlook. Therefore, a multiparametric MRI protocol is the most effective imaging strategy for rectal cancer staging. This technique may reduce overstaging rates, and thus lead to more appropriate treatment selection, ultimately improving patient outcomes and quality of life by avoiding unnecessary treatments. Hence, the clinical benefits of DWI, particularly in T2-T3 tumors, are substantial. Recent advances in radiomics and artificial intelligence applied to multiparametric rectal MRI (including DWI/ADC) have shown promising results for automated staging and risk stratification, potentially complementing radiologist-based assessment and improving standardization [44,45]. However, further external validation and prospective evaluation are still needed before routine clinical implementation [44,45].

The current study had several limitations. First, this research included a relatively small number of patients in relation to the population eligible for multimodal staging of rectal pathology. This is, in part, attributable to the lack of postoperative histological results and inadequate image quality, as many potentially eligible candidates undergo neoadjuvant radiotherapy prior to surgery. Second, the nature of the retrospective work did not allow a prospective selection of the analyzed variables. Third, the DWI interpretations are still partly subjective, and might be influenced by artifacts and reader expertise. In addition, the lack of standardized acquisition protocols across different MRI platforms poses a challenge in the future. Fourth, the ADC evaluation was based on a literature-derived, ROI-based cutoff, rather than a whole-lesion quantitative approach (e.g., histogram metrics), which might have enabled more accurate risk stratification and correlations with tumor aggressiveness; however, we preferred a workflow closer to routine clinical practice and less affected by acquisition/reconstruction parameters and inter-scanner variability. Finally, deep learning-based acceleration of DWI acquisition may influence ADC measurements, potentially reducing bias in ADC thresholds across protocols and platforms [46,47].

In conclusion, DWI-MRI is a valuable noninvasive tool for T staging in rectal cancer, offering a higher diagnostic accuracy than T2-weighted imaging in assessing rectal wall invasion and reducing overstaging. Regardless of the reader’s level of experience, the use of DWI-MRI improves treatment planning, and enhances both intraobserver confidence and interobserver agreement. These findings support the routine use of DWI in clinical practice.

Data availability statement

The raw data that support the conclusions of this article will be made available by the authors, without undue reservation.

Summary Box

What is already known:

  • High-resolution T2-weighted magnetic resonance imaging (MRI) is the reference modality for preoperative T and N staging in rectal cancer

  • Conventional MRI frequently overestimates extramural invasion, particularly when desmoplastic reaction/peritumoral inflammation mimics tumor spread

  • Diffusion-weighted imaging (DWI) is established for restaging after neoadjuvant therapy and for tumor detection, but evidence from primary staging is limited

What the new findings are:


  • Qualitative DWI added to standard T2-weighted MRI improves diagnostic accuracy for primary T staging, with a marked benefit in T2-T3 differentiation and reduced overstaging

  • DWI refines the assessment of peritumoral tissues, aiding discrimination between desmoplastic reaction and true mesorectal invasion in equivocal cases

  • The addition of DWI increases reader confidence and interobserver agreement across experience levels in routine practice

  • A practical, segmentation-free DWI approach demonstrates high accuracy for predicting T3 stage in a relatively large cohort, supporting its incorporation into preoperative staging workflows

References

1. Sung H, Ferlay J, Siegel RL, et al. Global cancer statistics 2020:GLOBOCAN estimates of incidence and mortality worldwide for 36 cancers in 185 countries. CA Cancer J Clin 2021;71:209-249.

2. Kim H, Lim JS, Choi JY, et al. Rectal cancer:comparison of accuracy of local-regional staging with two- and three-dimensional preoperative 3-T MR imaging. Radiology 2010;254:485-492.

3. Zhang G, Cai YZ, Xu GH. Diagnostic accuracy of MRI for assessment of T category and circumferential resection margin involvement in patients with rectal cancer:a meta-analysis. Dis Colon Rectum 2016;59:789-799.

4. Plummer JM, Leake PA, Albert MR. Recent advances in the management of rectal cancer:No surgery, minimal surgery or minimally invasive surgery. World J Gastrointest Surg 2017;9:139-148.

5. Liu B, Sun C, Zhao X, Liu L, Liu S, Ma H. The value of multimodality MR in T staging evaluation after neoadjuvant therapy for rectal cancer. Technol Health Care 2024;32:615-627.

6. Scheele J, Schmidt SA, Tenzer S, Henne-Bruns D, Kornmann M. Overstaging:a challenge in rectal cancer treatment. Visc Med 2018;34:301-306.

7. Gunderson LL, Callister M, Marschke R, Young-Fadok T, Heppell J, Efron J. Stratification of rectal cancer stage for selection of postoperative chemoradiotherapy:current status. Gastrointest Cancer Res 2008;2:25-33.

8. Nougaret S, Reinhold C, Mikhael HW, Rouanet P, Bibeau F, Brown G. The use of MR imaging in treatment planning for patients with rectal carcinoma:have you checked the “DISTANCE“?Radiology 2013;268:330-344.

9. Granata V, Fusco R, Reginelli A, et al. Diffusion kurtosis imaging in patients with locally advanced rectal cancer:current status and future perspectives. J Int Med Res 2019;47:2351-2360.

10. Attenberger UI, Pilz LR, Morelli JN, et al. Multi-parametric MRI of rectal cancer - do quantitative functional MR measurements correlate with radiologic and pathologic tumor stages?Eur J Radiol 2014;83:1036-1043.

11. Li M, Xu X, Qian P, et al. Texture analysis in the assessment of rectal cancer:comparison of T2WI and diffusion-weighted imaging. Comput Math Methods Med 2021;2021:9976440.

12. Kobayashi S, Koga F, Yoshida S, et al. Diagnostic performance of diffusion-weighted magnetic resonance imaging in bladder cancer:potential utility of apparent diffusion coefficient values as a biomarker to predict clinical aggressiveness. Eur Radiol 2011;21:2178-2186.

13. Horvat N, Carlos Tavares Rocha C, Clemente Oliveira B, Petkovska I, Gollub MJ. MRI of rectal cancer:tumor staging, imaging techniques, and management. Radiographics 2019;39:367-387.

14. Schurink NW, Lambregts DMJ, Beets-Tan RGH. Diffusion-weighted imaging in rectal cancer:current applications and future perspectives. Br J Radiol 2019;92:20180655.

15. Renzulli M, Clemente A, Ierardi AM, et al. Imaging of colorectal liver metastases:new developments and pending issues. Cancers (Basel) 2020;12:151.

16. Curvo-Semedo L, Lambregts DM, Maas M, Beets GL, Caseiro-Alves F, Beets-Tan RG. Diffusion-weighted MRI in rectal cancer:apparent diffusion coefficient as a potential noninvasive marker of tumor aggressiveness. J Magn Reson Imaging 2012;35:1365-1371.

17. Beets-Tan RGH, Lambregts DMJ, Maas M, et al. Magnetic resonance imaging for clinical management of rectal cancer:updated recommendations from the 2016 European Society of Gastrointestinal and Abdominal Radiology (ESGAR) consensus meeting. Eur Radiol 2018;28:1465-1475.

18. Jia H, Ma X, Zhao Y, et al. Meta-analysis of diffusion-weighted magnetic resonance imaging in identification of colorectal cancer. Int J Clin Exp Med 2015;8:17333-17342.

19. Sun D, Wu X, Wang L, Li G, Huang J, Li Y. Distinguishing T1-2 and T3a tumors of rectal cancer with texture analysis and functional MRI parameters. Diagn Interv Radiol 2022;28:200-207.

20. Leufkens AM, Kwee TC, van den Bosch MA, Mali WP, Takahara T, Siersema PD. Diffusion-weighted MRI for the detection of colorectal polyps:feasibility study. Magn Reson Imaging 2013;31:28-35.

21. Amin MD, Edge SB, Greene F, et al. AJCC cancer staging manual. 8th edition. Springer, New York, 2017, pp. 3-30. doi:10.32388/b30ldk

22. Reginelli A, Clemente A, Sangiovanni A, et al. Endorectal ultrasound and magnetic resonance imaging for rectal cancer staging:a modern multimodality approach. J Clin Med 2021;10:641.

23. Surov A, Meyer HJ, Wienke A. Apparent diffusion coefficient for distinguishing between malignant and benign lesions in the head and neck region:a systematic review and meta-analysis. Front Oncol 2019;9:1362.

24. Chen L, Shen F, Li Z, et al. Diffusion-weighted imaging of rectal cancer on repeatability and cancer characterization:an effect of b-value distribution study. Cancer Imaging 2018;18:43.

25. Landis JR, Koch GG. The measurement of observer agreement for categorical data. Biometrics 1977;33:159-174.

26. Glynne-Jones R, Wyrwicz L, Tiret E, et al;ESMO Guidelines Committee. Rectal cancer:ESMO Clinical Practice Guidelines for diagnosis, treatment and follow-up. Ann Oncol 2017;28:iv22-iv40.

27. Balyasnikova S, Brown G. Imaging advances in colorectal cancer. Curr Colorectal Cancer Rep 2016;12:162-169.

28. Benson AB, Venook AP, Adam M, et al. NCCN guidelines®insights:rectal cancer, version 3.2024:featured updates to the NCCN guidelines. J Natl Compr Canc Netw 2024;22:366-375.

29. Merkel S, Mansmann U, Siassi M, Papadopoulos T, Hohenberger W, Hermanek P. The prognostic inhomogeneity in pT3 rectal carcinomas. Int J Colorectal Dis 2001;16:298-304.

30. Srisajjakul S, Prapaisilp P, Bangchokdee S. Pitfalls in MRI of rectal cancer:what radiologists need to know and avoid. Clin Imaging 2018;50:130-140.

31. Oien K, Forsmo HM, Rösler C, Nylund K, Waage JE, Pfeffer F. Endorectal ultrasound and magnetic resonance imaging for staging of early rectal cancers:how well does it work in practice?Acta Oncol 2019;58:S49-S54.

32. Heo SH, Kim JW, Shin SS, Jeong YY, Kang HK. Multimodal imaging evaluation in staging of rectal cancer. World J Gastroenterol 2014;20:4244-4255.

33. Yu L, Wang L, Tan Y, et al. Accuracy of magnetic resonance imaging in staging rectal cancer with multidisciplinary team:a single-center experience. J Cancer 2019;10:6594-6598.

34. Beets-Tan R, Beets GL, Vliegen RF, et al. Accuracy of magnetic resonance imaging in prediction of tumour-free resection margin in rectal cancer surgery. Lancet 2001;357:497-504.

35. Beets GL, Beets-Tan RG. Pretherapy imaging of rectal cancers:ERUS or MRI?Surg Oncol Clin N Am 2010;19:733-741.

36. Taylor FG, Swift RI, Blomqvist L, Brown G. A systematic approach to the interpretation of preoperative staging MRI for rectal cancer. AJR Am J Roentgenol 2008;191:1827-1835.

37. Iacobellis F, Reginelli A, Berritto D, et al. Pelvic floor dysfunctions:how to image patients?Jpn J Radiol 2020;38:47-63.

38. Gualdi GF, Casciani E, Guadalaxara A, d'Orta C, Polettini E, Pappalardo G. Local staging of rectal cancer with transrectal ultrasound and endorectal magnetic resonance imaging:comparison with histologic findings. Dis Colon Rectum 2000;43:338-345.

39. Nardone V, Reginelli A, Scala F, et al. Magnetic-resonance-imaging texture analysis predicts early progression in rectal cancer patients undergoing neoadjuvant chemoradiation. Gastroenterol Res Pract 2019;2019:8505798.

40. De Cataldo C, Bruno F, Palumbo P, et al. Apparent diffusion coefficient magnetic resonance imaging (ADC-MRI) in the axillary breast cancer lymph node metastasis detection:a narrative review. Gland Surg 2020;9:2225-2234.

41. Zheng X, Lu T, Tang Q, Yang M, Fan Y, Wen M. The clinical value of applying diffusion-weighted imaging combined with T2-weighted imaging to assess diagnostic performance of muscularis propria invasion in mid-to-high rectal cancer. Abdom Radiol (NY) 2025;50:598-607.

42. Chaves MM, Donato H, Campos N, Silva D, Curvo-Semedo L. Interobserver variability in MRI measurements of mesorectal invasion depth in rectal cancer. Abdom Radiol (NY) 2022;47:907-914.

43. Kilickap G, Dolek BA, Ercan K. Intra- and interobserver agreement of rectal cancer staging with MRI. Acta Radiol 2023;64:1747-1754.

44. Di Costanzo G, Ascione R, Ponsiglione A, 'et al. Artificial intelligence and radiomics in magnetic resonance imaging of rectal cancer:a review. Explor Target Antitumor Ther 2023;4:406-421.

45. Huang WQ, Lin RX, Ke XH, Deng XH, Ni SX, Tang L. Radiomics in rectal cancer:current status of use and advances in research. Front Oncol 2024;14:1470824.

46. Aamir F, Aslam I, Arshad M, Omer H. Accelerated diffusion-weighted MR image reconstruction using deep neural networks. J Digit Imaging 2023;36:276-288.

47. Ponsiglione A, McGuire W, Petralia G, et al. Image quality of whole-body diffusion MR images comparing deep-learning accelerated and conventional sequences. Eur Radiol 2024;34:7985-7993.

Notes

Conflict of Interest: None